Oesel's Newsflash
Unsere Oesel‘s D-chen sind gelandet!
Wir dürfen vorstellen:
Herr Grau: w/br (344 Gramm)
Herr Schwarz: w/br (460 Gramm)
Herr Orange: w/br (380 Gramm)
Und nun noch ein paar Bilder aus der ersten Lebenswoche:
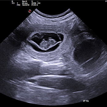
Voller Freude teilen wir Euch gerne mit, dass unsere Viva trächtig ist und somit unser Dante zum ersten Mal Papa wird 😍
Am heutigen Tag 27 waren wir in unserer Tierarztpraxis zum Ultraschall und dürfen nun ganz offiziell verkünden, dass wir um den 11. Dezember 2025 unseren D-Wurf erwarten! 🤩 Nun sind wir ganz aufgeregt und freuen uns schon auf die kommenden Woche. Das Wurftagebuch des D-Wurfs wird gleich eingerichtet - dort könnt Ihr Euch in Zukunft immer wieder über Neuigkeiten informieren. Wir erwarten sowohl LUA- als auch HUA-Welpen in weiß-braun. Auch bei dieser Trächtigkeit geht es Viva bestens. Sie ist extrem hungrig und will nur kuscheln. Daher hatten wir uns schon gedacht, dass sie Welpen erwartet ❤ Dennoch ist es beruhigend, wenn man dann nochmal die Bestätigung durch den Tierarzt hat.... Es war unglaublich toll, schon jetzt im Ultraschall die winzig kleinen Herzchen schlagen zu sehen ❤ ❤ ❤
Viva hat auch schon etwas an Gewicht zugelegt. Ab jetzt bekommt sie wieder größere Futterrationen, damit die Kleinen auch gut wachsen und gedeihen können 🙂Hier geht es zu unserem D-Wurf
Erstens kommt es anders, und zweitens als man denkt. ...
Heute melde ich mich mit einer eher ungeplanten Neuigkeit! Ehrlich gesagt hatten wir in diesem Jahr keinen Wurf geplant und dies auch so den Interessenten, denen wir beim letzten Wurf absagen mussten, so kommuniziert...
Aber: Die Natur geht manchmal wohl doch ihre eigenen Wege.
Unsere Viva ist am 31.08.2025 zum 4. Mal läufig geworden (sie wird ja nur 1 x im Jahr läufig). Das war ausgerechnet, als wir wegen der WAFDAL-Show mit unserem Wohnwagen auf einem Campingplatz in Bayern standen. Halb so wild: Die Läufigkeit war ja erst am Anfang und beide Hunde total entspannt. Als wir am 3. September nach Hause gefahren sind, haben wir Dante sofort zu meiner Mutter gebracht, wo er normalerweise bleibt, während Viva in der Hitze ist. Aber ab dem 4. September hat Viva sofort ihre Läufigkeit unterbrochen... keine Blutung mehr, gar nichts... Das war sehr ungewöhnlich, aber ich habe dann im Netz gelesen, dass das durchaus möglich ist. Split-Östrus nennt man das.
Dante blieb trotzdem vorsichtshalber bei meiner Mutter bis zum 18. September. Dann sollten wir ihn abholen, weil meine Eltern mit dem Wohnmobil wegfahren und wir ebenfalls nochmal 2 Wochen Urlaub in Bayern machen wollten. Also haben wir Dante den Donnerstag morgens abgeholt und sind dann freitags in der Nacht um 4 Uhr Richtung Bayern gestartet. Ab dem 23.09. blutete Viva plötzlich wieder... Ich dachte nur: "Na toll... ausgerechnet hier und jetzt, wo wir keine Möglichkeit zum Trennen haben". Aber wir hatten Glück - insgesamt blieb der Urlaub entspannt. Und aufgrund der Unterbrechung der Läufigkeit dachte ich, dass alles vielleicht eh anders ist als sonst. Dante war nämlich auffallend desinteressiert und absolut entspannt.
Da meine Mutter und mein Stiefvater weiterhin unterwegs waren, hatten wir dann auch beide Hunde erstmals bei uns Zuhause weiterhin zusammen. Ab Montag, den 06.10. zeigte Viva Deckbereitschaft... aber Dante hatte Null Interesse. Auch Dienstag und Mittwoch baggerte Viva ihn massiv an, aber er hatte keinerlei Ambitionen. Wir hatten natürlich ein Auge drauf, aber alles blieb entspannt. Donnerstag war Dante plötzlich interessierter, aber Viva zickte ihn bereits immer wieder an und hatte offenkundig keine Lust mehr auf eine Paarung. Er ließ dann auch sofort von ihr ab. In der Nacht wollten die beiden dann um 03:30 Uhr in den Garten. Thomas quälte sich aus dem Bett und ließ sie raus, da er dachte, dass sie mal pieseln müssten. Und dann ging alles plötzlich "ganz schnell". Da wir uns nicht sicher waren, ob dieses "Date" nun Früchte trägt oder nicht, haben wir bewusst mit einer Veröffentlichung gewartet, bis wir Sicherheit haben.
Und heute hat die Ultraschall-Untersuchung bestätigt, dass Dante & Viva Eltern werden <3<3<3. Nun freuen wir uns - trotz der Überraschung - selbstverständlich sehr auf unseren D-Wurf - unsere "Kinder der Liebe" ![]()
Wir erwarten um den 11.12.2025 nur weiß-braune LUA- und HUA-Welpen mit einer durch aus interessanten Ahnentafel. Da wir heute nicht sehr viele Welpen im Ultraschall gezählt halben, wird es wohl ein etwas kleinerer Wurf werden. Dennoch freuen wir uns über eine Kontaktaufnahme, wenn Interesse an einem Welpen aus dieser Kombination besteht!
Hier das Pedigree:
https://dogs.pedigreeonline.com/hypomating/JuYRV17F
Dante und Viva sind beide sehr verschmuste, gesunde, menschenbezogene Dalmatiner mit einem Herzen aus Gold!
Ich werde in den nächsten Tagen unsere Website diesbezüglich noch aktualisieren ![]()
Unsere Oesel‘s C-chen sind geschlüpft!
Wir dürfen vorstellen:
Fräulein Rot: w/s
Herr Grün: w/br
Fräulein Monokel: w/br mit Monokel
Herr Türkis: w/s
Und nun noch ein paar Bilder aus der ersten Lebenswoche:
Voller Freude dürfen wir heute verkünden, dass das Date zwischen Viva und Sikey nicht ohne Folgen geblieben ist 😍
Am heutigen Tag 28 waren wir in unserer Tierarztpraxis zum Ultraschall und dürfen nun ganz offiziell verkünden, dass wir um den 14. Oktober 2024 endlich unseren C-Wurf erwarten! 🤩 Wir sind ganz aufgeregt und können es noch gar nicht richtig fassen.Unsere neue Website ist auch auf einem guten Weg (noch nicht ganz fertig) und wir werden spätestens am Wochenende dann das C-Wurf-Tagebuch beginnen. Wir erwarten demnächst sowohl LUA- als auch HUA-Welpen in weiß-schwarz und weiß-braun. Unserer Viva geht es hervorragend. Sie ist extrem hungrig und noch schmusebedürftiger als sonst. Daher hatten wir uns schon gedacht, dass sie Welpen erwartet ❤ Dennoch ist es beruhigend, wenn man dann nochmal die Bestätigung durch den Tierarzt hat.... Es war unglaublich toll, schon jetzt im Ultraschall die winzig kleinen Herzchen schlagen zu sehen ❤ ❤ ❤
Viva hat auch schon etwas an Gewicht zugelegt (aktuell 26,2 kg) und sie hat 2 cm Bauchumfang dazu gewonnen (zu Beginn 55 cm, nun 57 cm). Ab jetzt bekommt sie dann größere Futterrationen, damit die Kleinen auch gut wachsen und gedeihen können 🙂Hier geht es zu unserem C-Wurf
Nach mehr als 8,5 Jahren Wartezeit beginnt nun endlich für uns das Abenteuer C-Wurf! ❤
Mehr als 1,5 Jahre Planung und Vorbereitung liegen nun hinter uns und wir geben voller Vorfreude & Stolz die Verbindung zwischen unserer Viva (Bacardi Feeling Alberta Viva Oesella) und Sikey (MOM's Favorite Sikey) bekannt. Aufmerksame Leser*innen unter Euch werden feststellen, dass Sikey ein Enkel von unserem wundervollen TARO ❤ ist... Es würde für uns also ein riesengroßer Traum und Herzenswunsch in Erfüllung gehen, wenn Viva tatsächich tragend ist. Wir sind aber sehr optimistisch, da sich die beiden ziemlich schnell einig waren 🥰
Somit wurde die bislang hei8este Nacht diesen Jahres für Viva & Sikey mit Sicherheit eine SEHR HEISSE Nacht 🤣
In unseren Augen ist Sikey die perfekte Ergänzung zu unserer Viva: Er bringt sehr viel Ruhe, einen tollen Körperbau & Knochenstärke mit und hat bestechend schöne, dunkelbraune Augen. Daher darf man wirklich sehr gespannt auf das Ergebnis dieser Kombination sein.
Bei Interesse an einem Welpen aus dieser Verpaarung freuen wir uns natürlich schon jetzt über eine Kontaktaufnahme.
Wir hoffen um den 15. Oktober herum auf sowohl LUA- als auch HUA-Welpen in weiß-schwarz und weiß-braun mit einer (aus unserer Sicht) sehr interessanten Ahnentafel. Mit einem Klick auf das Bild könnt Ihr Euch eine vergrößerte Version der Wurfanzeige anschauen.
Für Fragen stehen wir selbstverständlich gerne zur Verfügung.
Uns erreichte die traurige Nachricht, dass nun auch unser Aki - Oesel's Aki-Amadeus, nur zweieinhalb Wochen vor seinem 15. Geburtstag, die Reise ins Regenbogenland antreten musste 💔
Wir hatten geplant und gehofft, dass wir diesen besondern Geburtstag noch gemeinsam feiern können... aber es sollte leider nicht mehr sein 😢
Bis vor kurzem ging es Aki noch dem Alter entsprechend gut (Arthrose). Er war sogar noch mit seiner Familie in Schweden im Urlaub. Doch dann baute er seit Tagen rapide ab und die Beine versagten ihren Dienst. Er hatte einfach keine Kraft mehr und kam nicht mehr richtig auf die Beine 😢
Voller Dankbarkeit und Freude denken wir an alle unsere A-chen, die lange & glückliche Leben führen durften, zurück. Ihr wart tolle Punktehunde, hattet wunderbare Familien und werdet hier auf Erden sehr vermisst.
Vor 4 Jahren ist Aki's Frauchen Elke plötzlich und unerwartet an einer Lungenembolie verstorben. Ich finde die Vorstellung tröstlich, dass Aki nun wieder bei seiner Elke ist und auch hoffentlich dort seine Geschwister und seine frühere Partnerin Lana wiedergefunden hat. Mein Herz fühlt sich dennoch schwer an: Mit Elke & Aki haben ich mich über Jahre regelmäßig zum gemeinsamen Gassigehen getroffen. Er war ein guter Bruder und Kumpel von Taro und Choise.
Oesel's Aki-Amadeus - 10.09.2009 - 24.08.2024
Innerhalb kurzer Zeit gab es gleich zweimal Grund zu großer Freude! Berta's erste Veteranen-Championurkunden sind da!
D, NL, CH, A, INT Ch., Lux Vet.Ch.
Oesel's Bezaubernde Berta
*11.01.2016

